膀胱炎是一种常见的尿路感染性疾病,约占尿路感染总数的50%~70%。因细菌感染而引起。其致病菌多数为大肠杆菌。通常多发生于女性,因为女性的尿道比男性的尿道短,又接近肛门,大肠杆菌易侵人。膀胱炎最典型的症状是即尿频、尿急、尿痛甚至有急迫性尿失禁,可以有血尿和脓尿。
膀胱炎诱因有结石、异物、肿瘤或阻塞性病变,包括由于神经系统疾产生的排尿功能障碍等。膀胱炎的急性炎症的病理变化有粘膜充血、水肿、出血和溃疡形成,并有脓液或坏死组织。慢性炎症主要有粘膜增生或萎缩、肉芽组织形成,并有纤维组织增生,膀胱容量减少;或并发阻塞所引起的肌肉肥大,膀胱容量增大甚至有憩室形成等改变。还有一种特殊的炎症变化是坏疽性膀胱炎,为梭形杆菌、产气荚膜杆菌等引起的严重膀胱炎症。
膀胱炎患者最常见的是尿道刺激症,尿频、尿急,尿道有灼热感,排尿前后膀胱区痛,这种痛苦会严重影响患者的生活与工作,男性膀胱炎还伴随有射精痛的症状。
-

腺性膀胱炎怎么治疗 手术药物治疗大分析
近年来关于腺性膀胱炎的就诊是逐渐增多,这与膀胱镜加活检的大力推行是息息相关的。然而,由于腺性膀胱炎有5%的几率会恶变成为膀胱腺癌,因此在发现后及时的治疗就很有必...
2015-01-31查看详情
-

腺性膀胱炎严重吗 依据活检报告看
腺性膀胱炎作为一种在慢性尿路感染患者中的多发病,高发病,其长时间的排尿不适以及膀胱、会阴区的胀痛等都给患者的日常生活带来不利的影响。为此在早期一经诊断积极的治疗...
2015-01-30查看详情
-

腺性膀胱炎的癌变 以人乳头腺瘤多见
腺性膀胱炎是一种不同于一般的膀胱炎的疾病,这里的不同在于它是一种集合化生与增生同时存在的膀胱上皮细胞的病变。虽然说腺性膀胱炎是一种良性病变,但是其还是有恶变的可...
2015-01-29查看详情
-

腺性膀胱炎的膀胱镜表现 有三种形式
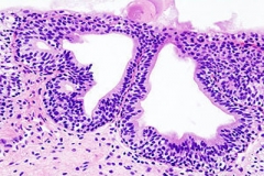
腺性膀胱炎的诊断不是依据患者出现的典型症状,也不是看b超下的膀胱黏膜是否粗糙是否有充血,它是一个需要病理证实的疾病,是需要在膀胱镜下有病理性改变,并取病理活检证...
2015-01-28查看详情
-

腺性膀胱炎的电灼治疗 适合膀胱黏膜散在病变者
腺性膀胱炎患者的男女比例中,女性患者是远远多于男性患者的,这主要是因为女性尿道短、经尿道逆行感染几率大,更容易遭受长期的尿路感染刺激有关。由于腺性膀胱炎患者的膀...
2015-01-27查看详情
-

腺性膀胱炎的保守治疗 适合膀胱黏膜轻度者
保守治疗近年来一直被广泛的提及,这大多数是因为手术治疗的高复发性给患者不好的体验,为此如何能不手术治疗,同时还能抑制病变继续发展、恶变下去,成为保守治疗的首要目...
2015-01-26查看详情
-

腺性膀胱炎的电切治疗 适合膀胱黏膜病变严重者
腺性膀胱炎的病发部位比较多,可以不仅仅局限于膀胱颈部、膀胱三角区等多发地带,还可以是在膀胱三角区输尿管口周围,甚至有的可以累及到膀胱的侧壁,膀胱底部,以及后尿道...
2015-01-24查看详情
-

腺性膀胱炎的症状 与膀胱黏膜的病变部位有关
腺性膀胱炎是典型的慢性膀胱炎的一种,由于和间质性膀胱炎、滤泡性膀胱炎一样都是膀胱黏膜发生的病变,因此单凭症状,很难得区分是何种性质的慢性膀胱炎,需要通过膀胱镜检...
2015-01-23查看详情
-

腺性膀胱炎的病因 炎症梗阻结石是主因
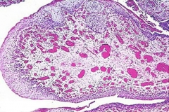
腺性膀胱炎的诊断主要是依据病理学,也就是在经尿道的膀胱镜下取病理活检,若是有滤泡样增生或水草样簇样增生,就提示是腺性膀胱炎。由于本病有恶变成腺癌或膀胱癌的可能,...
2015-01-22查看详情
-

腺性膀胱炎的手术治疗 术后膀胱灌注很重要
腺性膀胱炎目前大多数学者认为其是一种良性的病变,是膀胱黏膜局部或整个发生黏膜增生与化生的良性病变。虽然说其有不到5%的恶变率,但是若是在腺性膀胱炎的初期经膀胱镜...
2015-01-21查看详情







