腹股沟长肿块 竟是活体寄生虫引起的肉芽肿
作者:武汉李小平中医门诊 点击:0 次
2015-08-07 09:08:15
身上长有肿块,若是显见之处还好说,观察起来也比较方便。但是若长在隐私处,观察起来就不是很方面,也难免不重视起来。但是若长有的肿块,有疼痛感,那不管是不是隐私处都需要引起重视,因为这有可能是肉芽肿。这不,近期新闻就报道一则“肉芽肿”的新闻,新闻中的当事人因为腹股沟长肿块,且持续疼痛一年而就诊,但检查发现有寄生虫感染。

不惑之年,腹股沟长小肿块
40岁那年,她在洗澡时,无意间摸到自己的腹股沟有一个小包,起初以为是淋巴结肿大,就没有引起重视。但是后期洗澡时,总会多观察一下这个小包。慢慢的,她发现这个小包开始变大,且摸起来还有硬块,有时候会有按摩的疼痛感存在。
由于疼痛感不是很强烈,因此她没有寻求医生的帮助。于是在接下来的一年来,她每次洗澡时,都会去查看下那个包块,看是否增长迅速,是否还有疼痛感。直到近期,腹股沟的那个肿块引起的疼痛感加强,她才想到去医院检查,看是什么原因导致的这个小肿块。
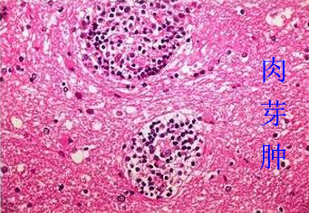
肿块切开有肉芽样组织,进一步查看是寄生虫绦虫蚴虫
医生接诊后,发现她肿块的皮肤无红肿和破溃,但是按下去却有很典型的疼痛感。加之,肿块比较大,建议手术切除。然而术后切开那个肿块后,发现有肉芽样组织。起初,医生以为是一条组织纤维,但是后期查看发现“组织纤维”蠕动起来,进一步检查确诊是绦虫蚴虫。
术后医生询问她是否有吃生食的习惯,或是否喜欢吃野生动物或青蛙、蛇。说到蛇,她才想起来,自己前几年用过民间的土方子--蛇血,治疗过自己多年的风湿。当时,她为了治疗多年的风湿,曾经先后四次生喝蛇血,每次都是小半碗。四次喝蛇血还真的治疗好她的风湿。说到这里,她才想起,自己腹股沟的小包,真是风湿好了之后才出现的。
医生提醒,蛇血中含有多种寄生虫,不排除是多次生喝蛇血造成这个腹股沟小包内有寄生虫。因此,蛇血尽量不要生吃,可以适当的泡一下酒,或者采取的其他的方法,祛除里面的寄生虫再来喝,以免引起寄生虫感染。
相关文章











