-

特别嗜睡且嗅觉丧失 警惕脑膜瘤
人老后或者怀孕后,会因生理性原因时不时的想嗜睡,这是一种正常的反应。但是若正当壮年,却突然嗜睡严重,甚至还伴随有嗅觉丧失,那就需要警惕,这有可能是一种脑部病变
2015-08-13查看详情
-

食用苋菜后晒日光过敏 因日光性皮炎脸色如同黑
苋菜有很多的学名,在民间有汗菜的说法。若是清炒后的汁叶是红色的,一般被称作红汗菜;相应的,清炒后的汁叶是绿色的,被称为绿汗菜。由于苋菜口感好,可清热、润肠通便
2015-08-12查看详情
-

糖尿病引发酮症酸中毒致昏迷 此前被误诊脑炎
糖尿病在我们的认知内,一般是与年老者或成人相挂钩,他们才是此病的高危人群。但是你知道吗,其实糖尿病也多发生在幼儿或儿童身上,尤其是1型糖尿病。这不,近期新闻就报
2015-08-10查看详情
-

咳嗽了两年以为是肺炎 原来是支气管结石
咳嗽是人体的一种保护性呼吸反射动作,适当咳嗽有利于清除呼吸道内的异物或分泌物。但是若频繁咳嗽,就需要检查原因,看是否有肺炎或支气管异物可能。这不,近期新闻就报
2015-08-08查看详情
-

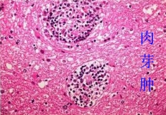
腹股沟长肿块 竟是活体寄生虫引起的肉芽肿
身上长有肿块,若是显见之处还好说,观察起来也比较方便。但是若长在隐私处,观察起来就不是很方面,也难免不重视起来。但是若长有的肿块,有疼痛感,那不管是不是隐私处
2015-08-07查看详情
-

吃了油炸蝉蛹后浑身发痒 原是过敏引起的荨麻疹
炎热夏季,大街小巷经常可以见到一些商家打出油炸蝉蛹、油炸知了、油炸蚂蚱、油炸蝎子等招牌,就为了吸引一些特殊的食客前来光顾。但是,需要提醒的是,油炸昆虫类菜肴...
2015-08-06查看详情
-

前列腺肥大易引发泌尿结石 饮食禁忌需注意
结石是很常见的一种病,它主要沉积在人体的肾脏,胆囊以及泌尿系统。大多数结石都跟日常生活习惯、饮食习惯以及生活环境有关,也有些结石是由身体内其他疾病引发的。...
2015-08-05查看详情
-

饭后剧烈运动出现腹痛 或有肠扭转可能
从小家长就教育我们,饭后可以静坐或适当走走,千万不要刚吃饭完就剧烈运动,以免出现胃肠道不适症状。然而,有些人迫于生计,想要加快工作进度,不得不在饭后赶紧工作。...
2015-08-04查看详情
-

腰又酸又痛 警惕腰椎间盘突出
久坐或从实重体力劳动后,我们会有腰部酸胀的感觉,此时提示你可以站起来好好休息下,缓解腰部的酸胀感。若是腰部持续性的酸痛,尤其是在咳嗽或排便时更为严重,那就...
2015-08-03查看详情
-

5岁女童被留车内 因热射病近脑死亡
炎热的夏季到来,正值火热的暑假档,许多家长会选择带小孩外出自驾游。但是自今年入夏以来,已经发生多起儿童被家长遗留车内的事件,出现器官衰竭甚至死亡等不可挽回...
2015-08-01查看详情







